Nuevos hallazgos en #JBJS: tabaquismo, depresión (pero no obesidad) afectan negativamente los resultados después de una artroplastia total de tobillo
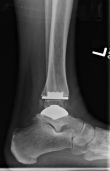
New Findings in #JBJS: Smoking, Depression (But Not Obesity) Adversely Affect Outcomes after TAA https://t.co/JflAgSzyaJ @AOFAS pic.twitter.com/Eodq2AmO96
— J Bone & Joint Surg (@jbjs) 6 de febrero de 2019