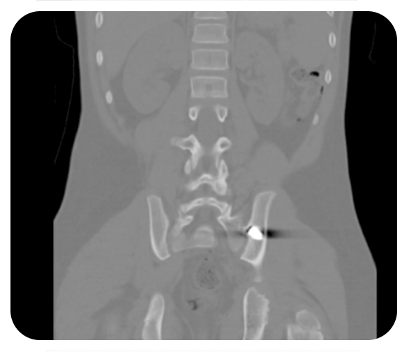
La fractura por estrés de la columna posterior puede ser una complicación poco reconocida después de la osteotomía periacetabular (PAO), y la técnica quirúrgica puede influir en la tasa.
#fractura por #estrés #cadera #BJJ stressfracture #hip @willmorrismd
@utswortho
@SRChildren_
The incidence and risk factors for stress fracture following periacetabular osteotomy | The Bone & Joint Journal (boneandjoint.org.uk)
Stress fracture of the posterior column may be an under-recognized complication following PAO, and the rate may be influenced by surgical technique.#stressfracture #hip #BJJ @willmorrismd @utswortho @SRChildren_ https://t.co/4lWH8UuIJ3 pic.twitter.com/RnZpef9YLi
— The Bone & Joint Journal (@BoneJointJ) September 6, 2022
- Los objetivos de este estudio fueron caracterizar la incidencia y los factores de riesgo asociados con las fracturas por estrés después de la osteotomía periacetabular y determinar su efecto sobre la consolidación de la osteotomía.
- La fractura por estrés de la columna posterior puede ser una complicación poco reconocida después de la osteotomía periacetabular (PAO), y la técnica quirúrgica puede influir en la tasa. Se debe considerar el uso de un cincel estrecho durante el corte isquiático para reducir el riesgo de propagación de la tensión a través de la columna posterior.
https://pubmed.ncbi.nlm.nih.gov/36047021/
https://online.boneandjoint.org.uk/doi/abs/10.1302/0301-620X.104B9.BJJ-2021-1391.R3
Morris WZ, Justo PGS, Williams KA, Kim YJ, Millis MB, Novais EN. The incidence and risk factors for stress fracture following periacetabular osteotomy. Bone Joint J. 2022 Sep;104-B(9):1017-1024. doi: 10.1302/0301-620X.104B9.BJJ-2021-1391.R3. PMID: 36047021.

DR. HENRY MARTIN QUINTELA NUÑEZ DEL PRADO / PROFESIÓN: MEDICO CIRUJANO



